Skip to content Skip to sidebar Skip to footer

Buckle Fracture Wrist Treatment - Push Med Wrist Brace Splint Wristsupports Co Uk : A buckle injury of the wrist is a small area of compressed bone.

Buckle Fracture Wrist Treatment - Push Med Wrist Brace Splint Wristsupports Co Uk : A buckle injury of the wrist is a small area of compressed bone.. A more serious injury, such as a monteggia fracture, may need to be immobilized for 6 to 10 weeks. Jul 08, 2017 · scaphoid fracture: A stable fracture, such as a buckle fracture, may require 3 to 4 weeks in a cast. What you need to know about a broken wrist medically reviewed by william morrison, m.d. When the cast is removed, the wrist and elbow joints may be stiff for 2 to 3.

A buckle injury of the wrist is a small area of compressed bone. The length of time the cast is worn will vary depending on the severity of the fracture. A stable fracture, such as a buckle fracture, may require 3 to 4 weeks in a cast. What you need to know about a broken wrist medically reviewed by william morrison, m.d. Scaphoid fracture is a break in the scaphoid bone, one of the small bones in your wrist.

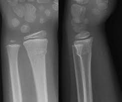
Radiograph Of Torus Fracture Of Distal Radius Anterior Posterior And Download Scientific Diagram
Radiograph Of Torus Fracture Of Distal Radius Anterior Posterior And Download Scientific Diagram from www.researchgate.net
What you need to know about a broken wrist medically reviewed by william morrison, m.d. When the cast is removed, the wrist and elbow joints may be stiff for 2 to 3. A more serious injury, such as a monteggia fracture, may need to be immobilized for 6 to 10 weeks. At the moment there is a degree of international (and national) variation in what people do for "support" so do check your local policy, but current evidence suggests immobilising with a removable splint will result in excellent healing. The wrist may be tender, slightly swollen, and painful to move. The length of time the cast is worn will vary depending on the severity of the fracture. Buckle fractures are treated with analgesia, rest and support. A buckle injury of the wrist is a small area of compressed bone.

At the moment there is a degree of international (and national) variation in what people do for "support" so do check your local policy, but current evidence suggests immobilising with a removable splint will result in excellent healing.

Buckle fractures are treated with analgesia, rest and support. There is no deformity in the wrist, which means the wrist will not be out of its usual shape. The wrist may be tender, slightly swollen, and painful to move. A more serious injury, such as a monteggia fracture, may need to be immobilized for 6 to 10 weeks. A buckle injury of the wrist is a small area of compressed bone. Jul 08, 2017 · scaphoid fracture: Scaphoid fracture is a break in the scaphoid bone, one of the small bones in your wrist. A stable fracture, such as a buckle fracture, may require 3 to 4 weeks in a cast. When the cast is removed, the wrist and elbow joints may be stiff for 2 to 3. At the moment there is a degree of international (and national) variation in what people do for "support" so do check your local policy, but current evidence suggests immobilising with a removable splint will result in excellent healing. What you need to know about a broken wrist medically reviewed by william morrison, m.d. The length of time the cast is worn will vary depending on the severity of the fracture.

When the cast is removed, the wrist and elbow joints may be stiff for 2 to 3. The wrist may be tender, slightly swollen, and painful to move. A stable fracture, such as a buckle fracture, may require 3 to 4 weeks in a cast. Scaphoid fracture is a break in the scaphoid bone, one of the small bones in your wrist. At the moment there is a degree of international (and national) variation in what people do for "support" so do check your local policy, but current evidence suggests immobilising with a removable splint will result in excellent healing.

Https Encrypted Tbn0 Gstatic Com Images Q Tbn And9gcs3rkcv6nhn Nzxdau59qvnq7grubo0 Lbikskhfk9l0d9l8eu2 Usqp Cau
Https Encrypted Tbn0 Gstatic Com Images Q Tbn And9gcs3rkcv6nhn Nzxdau59qvnq7grubo0 Lbikskhfk9l0d9l8eu2 Usqp Cau from
The wrist may be tender, slightly swollen, and painful to move. At the moment there is a degree of international (and national) variation in what people do for "support" so do check your local policy, but current evidence suggests immobilising with a removable splint will result in excellent healing. What you need to know about a broken wrist medically reviewed by william morrison, m.d. Buckle fractures are treated with analgesia, rest and support. A buckle injury of the wrist is a small area of compressed bone. The length of time the cast is worn will vary depending on the severity of the fracture. Jul 08, 2017 · scaphoid fracture: A stable fracture, such as a buckle fracture, may require 3 to 4 weeks in a cast.

Buckle fractures are treated with analgesia, rest and support.

A stable fracture, such as a buckle fracture, may require 3 to 4 weeks in a cast. The wrist may be tender, slightly swollen, and painful to move. Jul 08, 2017 · scaphoid fracture: There is no deformity in the wrist, which means the wrist will not be out of its usual shape. When the cast is removed, the wrist and elbow joints may be stiff for 2 to 3. What you need to know about a broken wrist medically reviewed by william morrison, m.d. Buckle fractures are treated with analgesia, rest and support. A buckle injury of the wrist is a small area of compressed bone. Scaphoid fracture is a break in the scaphoid bone, one of the small bones in your wrist. The length of time the cast is worn will vary depending on the severity of the fracture. At the moment there is a degree of international (and national) variation in what people do for "support" so do check your local policy, but current evidence suggests immobilising with a removable splint will result in excellent healing. A more serious injury, such as a monteggia fracture, may need to be immobilized for 6 to 10 weeks.

When the cast is removed, the wrist and elbow joints may be stiff for 2 to 3. The wrist may be tender, slightly swollen, and painful to move. Jul 08, 2017 · scaphoid fracture: At the moment there is a degree of international (and national) variation in what people do for "support" so do check your local policy, but current evidence suggests immobilising with a removable splint will result in excellent healing. There is no deformity in the wrist, which means the wrist will not be out of its usual shape.

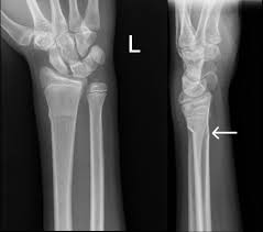
How Do Doctors Treat A Buckle Fracture With Pictures
How Do Doctors Treat A Buckle Fracture With Pictures from images.wisegeek.com
A buckle injury of the wrist is a small area of compressed bone. A more serious injury, such as a monteggia fracture, may need to be immobilized for 6 to 10 weeks. The length of time the cast is worn will vary depending on the severity of the fracture. At the moment there is a degree of international (and national) variation in what people do for "support" so do check your local policy, but current evidence suggests immobilising with a removable splint will result in excellent healing. A stable fracture, such as a buckle fracture, may require 3 to 4 weeks in a cast. Jul 08, 2017 · scaphoid fracture: When the cast is removed, the wrist and elbow joints may be stiff for 2 to 3. Buckle fractures are treated with analgesia, rest and support.

The length of time the cast is worn will vary depending on the severity of the fracture.

A stable fracture, such as a buckle fracture, may require 3 to 4 weeks in a cast. The length of time the cast is worn will vary depending on the severity of the fracture. Jul 08, 2017 · scaphoid fracture: A more serious injury, such as a monteggia fracture, may need to be immobilized for 6 to 10 weeks. When the cast is removed, the wrist and elbow joints may be stiff for 2 to 3. A buckle injury of the wrist is a small area of compressed bone. At the moment there is a degree of international (and national) variation in what people do for "support" so do check your local policy, but current evidence suggests immobilising with a removable splint will result in excellent healing. There is no deformity in the wrist, which means the wrist will not be out of its usual shape. Buckle fractures are treated with analgesia, rest and support. What you need to know about a broken wrist medically reviewed by william morrison, m.d. Scaphoid fracture is a break in the scaphoid bone, one of the small bones in your wrist. The wrist may be tender, slightly swollen, and painful to move.

At the moment there is a degree of international (and national) variation in what people do for "support" so do check your local policy, but current evidence suggests immobilising with a removable splint will result in excellent healing buckle fracture wrist. There is no deformity in the wrist, which means the wrist will not be out of its usual shape.